-
脑水肿 编辑
脑水肿是指脑内水分增加、导致脑容积增大的病理现象,是脑组织对各种致病因素的反应。可致颅内高压,损伤脑组织,临床上常见于神经系统疾病,如颅脑外伤,颅内感染(脑炎,脑膜炎等),脑血管疾病,颅内占位性疾病(如肿瘤),癫痫发作以及全身性疾病如中毒性痢疾、重型肺炎。
脑水肿
3.颅内炎症:脑炎、脑膜炎、脑室炎、脑脓肿及败血症所致颅内弥漫性炎症,往往继发不同程度的脑水肿,此与致病微生物的毒性及累及的范围有关。
4.脑血管病变:颈内动脉或脑动脉血栓形成或栓塞,脑脂肪栓塞,使动脉血流减少或中断,使该动脉供血区发生急性脑供血不足与脑梗死,同时继发局限性或广泛性的脑水肿,脑动脉瘤或动静脉畸形破裂出血,蛛网膜下腔出血、脑室内出血同时发生脑血管痉挛,均继发脑水肿。
5.脑缺氧 癫痫持续状态,胸部创伤、不同原因所致的呼吸困难或窒息、心脏骤停,长时间低血压、休克、高原性缺氧、一氧化碳中毒及其他肺源性脑病,使脑处于缺氧状态伴随脑水肿;
6.外源性或内源性中毒:铅中毒或其他原因引起的全身性中毒,常并发弥漫性脑水肿。
7.脑代谢障碍:各种原因,全身性的或局限性的脑代谢障碍,引起脑水肿。
8.脑的放射性损害:包括电磁损伤作用如微波、红外线、X射线,γ射线,β射线、快中子等。
1.血脑屏障机能障碍:血脑屏障对脑水肿的关系最大。血脑屏障为脑的毛细血管腔与脑实质之间的屏障,由脑毛细血管内皮细胞、基底膜及星形细胞的血管板层构成。血脑脊液屏障主要是脉络丛上皮和内皮细胞之间的闭锁小带,脑脊液与脑实质之间也存在屏障,由脑室的室管膜上皮和覆盖脑表面的软膜胶质瘤膜组成。因此脑与血液间的物质交换必须通过这层血脑屏障。水能自由通过血脑屏障和血脑脊液屏障,电解质通过血脑屏障及血脑脊液屏障的能力与它们的脂溶性相关,脂溶性的物质容易通过,但葡萄糖也能通过。脑损伤、脑瘤、炎症时,血脑屏障破坏,使血浆大分子物质能够由血管腔内通透到脑细胞间隙,因此,认为血脑屏障的功能与结构损害是血管性脑水肿的病理基础。
脑水肿
3.脑细胞代谢障碍:脑内神经细胞是构成神经系统的结构和功能单位,包括胞体和突起两部分。脑细胞细微结构维持着脑细胞的正常代谢与功能。脑细胞代谢中,葡萄糖代谢是最主要的方面。正常时有氧代谢方式进行,脑缺氧时,细胞代谢中葡萄糖代谢变为无氧方式进行,分解为乳酸、丙酮酸等,也释放能量。但是由于ATP减少,仅为正常有氧代谢的5%。致使细胞本身及细胞膜的功能受损,钠泵、钙泵等离子泵运转失常,不能将细胞内多于的钠离子排出,氯离子由胞外进入胞内结合为氯化钠,使细胞内渗透压增高。水由细胞外进入细胞内,以维持细胞内外渗透压平衡,形成细胞内水肿。而细胞内酸性物质的产生又使细胞膜通透性增加,加重细胞水肿。
4.自由基:脑组织内自由基,氧自由基是一类具有高度化学活性的含氧基团,主要由超氧阴离子和氢氧自由基。脑损伤时,氧自由基在脑内大量增加,脑出血、脑缺血再灌注时,自由基也大量增加,自由基使细胞膜系统损害,血脑屏障损害,引起脑水肿。
脑水肿
6.颅内静脉压升高及其他等。
多发群体
颅内或全身性疾病引起脑组织损害的人群。
疾病症状
脑水肿
脑损害症状:局限性脑水肿多发生在局部脑挫裂伤灶或脑瘤等占位病变及血管病的周围。常见的症状为癫痫与瘫痪症状加重,或因水质范围扩大,波及语言运动中枢引起运动性失语。脑损伤后,如症状逐渐恶化,应多考虑脑水肿所致。弥漫性脑水肿,可因局限性脑水肿未能控制,继续扩展为全脑性,或一开始即为弥漫性脑水肿,例如弥漫性轴索损伤。
颅内压增高症状:表现为头痛、呕吐加重,躁动不安,嗜睡甚至昏迷。眼底检查可见视乳头水肿。早期出现生命体征变化,脉搏与呼吸减慢,血压升高的代偿症状,如脑水肿与颅内压高继续恶化则可导致发生脑疝。
其他症状:脑水肿影响额叶、颞叶、丘脑前部可以引起精神障碍,严重者神志不清、昏迷。颅内压增高也可引起精神症状。有时体温中度增高,脑水肿累及丘脑下部,可引起丘脑下部损害症状。
疾病危害
脑水肿使颅内压增高,颅内压增高又可加重脑水肿,发展至一定程度,即可使脑组织发生功能与结构上的损害。如果不能及时诊断和处理,脑水肿加重,或由局限性发展为弥漫性,将对脑产生严重危害,形成不可逆性的继发性病理改变,发生脑死亡。这种结局,是脑组织普遍性受损害及脑疝继发脑干严重损害所致。
根据疾病的临床表现和过程:脑水肿多继发于原发疾病,如在短时间内临床症状显著加重,应考虑局限性脑水肿,乳沟病人迅速出现严重颅内压增高症状,昏迷,多为广泛性或全脑水肿。应用脱水治疗,如出现利尿效果,且病情也随之改善,也表明存在脑水肿。
颅内压监护:颅内压监护可以显示和记录颅内压的动态变化,如颅内压升高,从颅内压曲线结合临床过程分析,可以提示脑水肿的发展与消退。
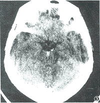
CT或MRI:CT或MRI扫描时直接提示脑水肿的最可靠诊断方法,CT图像所显示的征象,在病灶周围或白质区域,不同范围的低密度区,MRI在T1或T2加权像上,水肿区为高信号,较之CT扫描结果更确切。
手术治疗
及时解除病因是治疗脑水肿的根本。脑挫裂伤、侵润、坏死、液化的脑组织及蛛网膜下腔出血,清除颅内血肿,去除刺入脑内的骨片与整复凹陷骨折,解除对脑组织的刺激和压迫,脑瘤切除,非外伤性脑内血肿清除等,将病因清除后,脑水肿逐渐消退。
其它疗法
改善脑缺氧时防治脑水肿的重要措施 首先要保持呼吸道通畅,如出现低氧血症与高碳酸血症时,需采用辅助呼吸,控制性通气。临床常见颅脑外伤病人持续昏迷,当即进行气管切开,充分给氧,解除脑缺氧后,病情多好转,如不及时解除缺氧,其治疗也难以发挥作用。
脑水肿与颅内高压的治疗
脱水治疗,根据病情,选用脱水药物,常用20%甘露醇、速尿。可辅以浓缩血清白蛋白,脱水降压效果好。
梗阻性脑积水导致脑积水性脑水肿,行侧脑室持续引流,减少脑脊液量,达到减压和清除脑水肿的目的。
对脑细胞损害应用激素等药物,大剂量应用激素尚缺乏统一意见。自由基清除剂有一定治疗作用。
促进脑血流灌注,改善微循环,降低血脑屏障通透性,可应用钙离子通道拮抗剂如尼莫地平。
促进和改善脑代谢的功能 尼莫地平作为钙离子阻断剂有保护细胞膜,阻抑钙离子进入细胞内的作用,胞二磷胆碱是卵磷脂在脑内生物合成过程中的重要辅酶,而卵磷脂是神经细胞膜的重要组成成分脑活素、脑复康、都可喜等药物有促进细胞氧化还原作用,增加细胞能量,加速脑细胞功能的修复。
1、本站所有文本、信息、视频文件等,仅代表本站观点或作者本人观点,请网友谨慎参考使用。
2、本站信息均为作者提供和网友推荐收集整理而来,仅供学习和研究使用。
3、对任何由于使用本站内容而引起的诉讼、纠纷,本站不承担任何责任。
4、如有侵犯你版权的,请来信(邮箱:baike52199@gmail.com)指出,核实后,本站将立即删除。

















