-
肉芽组织 编辑
肉芽组织(granulation tissue)是指由新生薄壁的毛细血管以及增生的成纤维细胞构成,并伴有炎性细胞浸润,肉眼表现为鲜红色,颗粒状,柔软湿润,形似鲜嫩的肉芽故而得名。为幼稚阶段的纤维结缔组织。
巨噬细胞能分泌PDGF、FGF、TGF-β、IL-1及TNF,加上创面凝血时血小板释放的PDGF,进一步刺激纤维母细胞及毛细血管增生。巨噬细胞及中性粒细胞能吞噬细菌及组织碎片,这些细胞破坏后释放出各种蛋白水解酶,能分解坏死组织及纤维蛋白,肉芽组织中毛细血管内皮细胞亦有吞噬能力,并有强的纤维蛋白溶解作用。
肉芽组织中一些成纤维细胞的胞质中含有肌细丝,此细胞除了有成纤维细胞的功能外,还具有平滑肌细胞的功能,称其为肌成纤维细胞。
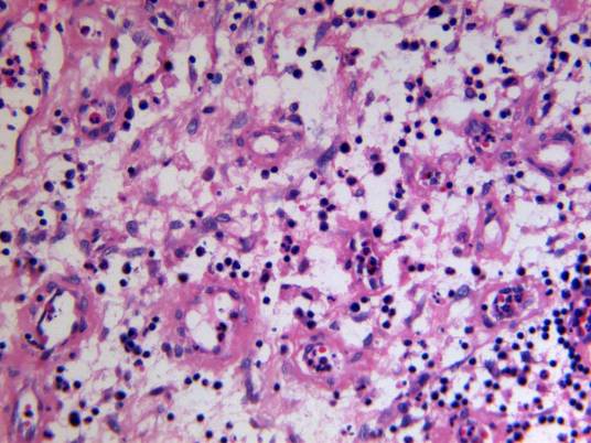
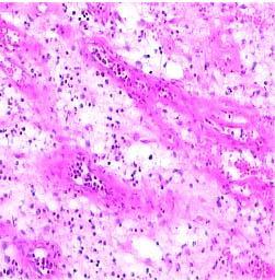
1.肉眼观察 肉芽组织的表面呈细颗粒状,鲜红色,柔软湿润,触之易出血而无痛觉,形似嫩肉故名。
2.镜下观察 基本结构为:
①大量新生的毛细血管,平行排列,均与表面相垂直,并在近表面处互相吻合形成弓状突起,肉眼呈鲜红色细颗粒状。
②新增生的纤维母细胞散在分布于毛细血管网络之间,很少有胶原纤维形成。
③多少不等的炎性细胞浸润于肉芽组织之中。肉芽组织内常含一定量的水肿液,但不含神经纤维,故无疼痛 。
①抗感染保护创面;
②填补创口及其它组织缺损;
③机化或包裹坏死、血栓、炎性渗出物及其他异物。
机化(organization)是指由新生的肉芽组织吸收并取代各种失活组织或其它异物的过程。最后肉芽组织成熟,转变为纤维瘢痕组织。包裹(encapsulation)是一种不完全的机化。即在失活组织或异物不能完全被机化时,在其周围增生的肉芽组织成熟为纤维结缔组织形成包膜,将其与正常组织隔离开。
肉芽组织
1、本站所有文本、信息、视频文件等,仅代表本站观点或作者本人观点,请网友谨慎参考使用。
2、本站信息均为作者提供和网友推荐收集整理而来,仅供学习和研究使用。
3、对任何由于使用本站内容而引起的诉讼、纠纷,本站不承担任何责任。
4、如有侵犯你版权的,请来信(邮箱:baike52199@gmail.com)指出,核实后,本站将立即删除。

















