-
膈疝 编辑
膈疝是内疝的一种,是指腹腔实质脏器等通过膈肌异位移动到胸腔内的疾病状态。可分为创伤性膈疝与非创伤性膈疝。
膈疝分为创伤性膈疝与非创伤性膈疝,后者又可分为先天性与后天性两类。非创伤性膈疝中最常见者为食管裂孔疝、胸腹裂孔疝、胸骨旁疝和膈缺如等。食管裂孔疝是膈疝中最常见者 达 90 %以上 形成食管裂孔疝的病因尚有争议,少数发病于幼年的患者有先天性发育障碍的因素,但近年来多认为后天性因素是主要的,与肥胖及慢性腹内压力升高有关。
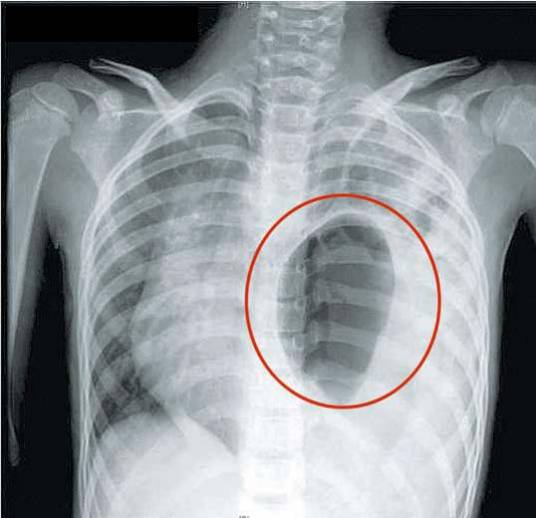
食管裂孔疝是指腹腔内脏器(主要是胃)通过膈食管裂孔进入胸腔所致的疾病。食管裂孔疝是膈疝中最常见者,达90%以上。食管裂孔疝多发生于40岁以上,女性(尤其是肥胖的经产妇)多于男性。
临床表现
食管裂孔疝患者可以无症状或症状轻微,其症状轻重与疝囊大小、食管炎症的严重程度无关。滑动型裂孔疝患者常常没有症状若有症状 往往是由于胃食管反流造成的,小部分是由于疝的机械性影响;食管旁裂孔疝的临床表现主要由于机械性影响,患者可以耐受多年;混合型裂孔疝在两个方面都可以发生症状。食管裂孔疝患者的症状归纳起来有以下3方面的表现:
1.胃食管反流症状
表现胸骨后或剑突下烧灼感、胃内容物上反感、上腹饱胀、嗳气、疼痛等。疼痛性质多为烧灼感或针刺样疼,可放射至背部、肩部、颈部等处。平卧、进食甜食、酸性食物等均可能诱发并可加重症状。此症状尤以滑动型裂孔疝多见。
2.并发症相关症状
(1)出血:裂孔疝有时可出血,主要是食管炎和疝囊炎所致,多为慢性少量渗血,可致贫血。
(2)反流性食管狭窄:在有反流症状病人中,少数发生器质性狭窄,以致出现吞咽困难,吞咽疼痛,食后呕吐等症状。
(3)疝囊嵌顿:一般见于食管旁疝。裂孔疝病人如突然剧烈上腹痛伴呕吐,完全不能吞咽或同时发生大出血,提示发生急性嵌顿。
3.疝囊压迫症状
当疝囊较大压迫心肺、纵隔,可以产生气急、心悸、咳嗽、发绀等症状。压迫食管时可感觉在胸骨后有食管停滞或吞咽困难。
诊断鉴别
1.疾病诊断
由于本病相对少见,且无特异性症状和体征,诊断较困难,对于有胃食管反流症状,年龄较大,肥胖,且症状与体位明显相关的可疑患者应予以重视,临床上诊断食管裂孔疝除了临床症状、体格检查外,确诊常需借助一些辅助检查。常规的检查手段是胃镜和X 线上消化道钡餐,这两项检查是必须进行的,X 线检查仍是目前诊断食管裂孔疝的主要方法。
对于可复性裂孔疝(特别是轻度者),一次检查阴性不能排除本病,临床上高度可疑者应重复检查,并取特殊体位如仰卧头低足高位等,观察是否有钡剂反流及疝囊出现。内镜检查对食管裂孔疝的诊断率比X 线检查高,内镜检查可同时判断是否存在食管裂孔疝及疝的类型和大小;是否存在反流性食管炎及严重程度;是否存在Barrett食管或贲门炎性狭窄;并除外其它病变如食管贲门部恶性肿瘤等,内镜检查可与X 线检查相互补充,协助诊断。有些食道裂孔疝经内镜检查和X 线检查后诊断仍不是很明确,还可以再进一步做食道测酸、测压的检查,超声及CT扫描尤其是增强扫描可以清楚显示食管裂孔的宽度、疝囊的大小以及并发肿瘤等。
根据以上检查就基本可以确诊了。诊断过程中值得注意的是,并不是所有的反酸和烧心就一定是食道裂孔疝。有反流性食管炎症状表现的病人80%的可以从上消化道钡餐检查中查到有滑动性疝,但是只有5%的食道裂孔疝患者查出有反流性食管炎。
2.鉴别诊断
食管裂孔疝主要是其并发症引起的临床症状需与其他疾病进行鉴别。
(1)急性心急梗死和心绞痛:食管裂孔疝的发病年龄也是冠心病的好发年龄,伴有反流性食管炎患者的胸痛可与心绞痛相似,可放射至左肩和左臂,含服硝酸甘油亦可缓解症状。但一般反流性食管炎患者的胸痛部位较低,同时可有烧灼感,常于饱餐后和平卧时发生。心绞痛常位于中部胸骨后,常在体力活动后发生,很少烧灼感。有时上述两种情况可同时存在,因从疝囊发出的迷走神经冲动可反射性地减少冠脉循环血流,诱发心绞痛,所以在作临床分析时应考虑上述可能性。连续动态心电图观察及心肌酶检测有助于鉴别诊断。
(2)下食管和贲门癌:易发生于老年人。癌组织浸润食管下端可引起胃食管反流和吞咽困难,应警惕此病。
(3)慢性胃炎:可有上腹不适、反酸、烧心等症状,内镜及上消化道钡餐检查有助于鉴别。
(4)消化性溃疡:抑酸治疗效果明显,与有症状的食管裂孔疝治疗后反应相似,上腹不适、反酸、烧心等症状通常于空腹时发生,与体位变化无关。内镜检查可明确诊断。
(5)呼吸系统疾病:食管裂孔疝患者可出现咳嗽、咳痰、喘息、憋气等呼吸系统疾病的症状,X线CT检查有助于鉴别诊断。
(6)胆道疾病:除上腹不适外,一般可有炎症性疾病的表现,如发热、血白细胞增高、胆管结石伴胆管炎的患者多有黄疸,体检右上腹可有局限性压痛,血生化检查、B 超及CT 扫描有助于鉴别诊断。
(7)胃穿孔:上腹呈持续性刀割样疼痛,腹肌紧张,伴有或不伴有嗳气、反酸、恶心、呕吐,但腹透无膈下液离气体,钡透可见膈上疝囊。
(8)渗出性胸膜炎:左下胸和左上腹明显疼痛,左侧胸呼吸音减弱,叩诊浊音,X检查示:左侧胸腔积液,但胸部仔细听诊可闻及肠鸣,钡餐检查可发现胸内有充钡的肠攀影。
(9)左侧气胸:心脏右移、心音远弱,左上胸叩诊呈鼓音,下胸叩诊呈浊音, 语颤减弱,呼吸音减弱,胸透为左胸腔有气液征,根据胸腔内有气液征象,可与气胸进行鉴别。叩诊呈鼓音、语颤减弱、呼吸音减弱的区域多为胃疝入胸腔呈倒置的葫芦状,胃内充满气体致胃体极度扩大所致。
(10)肠梗阻:有腹痛腹胀、恶心、呕吐、肠鸣消失,或有气过水声,多由于横结肠疝入胸腔引起梗阻所致,钡透胸腔有充钡肠管。
(11)伴发疾病: Saint三联征:指同时存在膈疝、胆石症和结肠憩室。有人称此三联征与老年、饮食过细所致便秘、腹压增高有关。Casten 三联征:指同时存在滑动型裂孔疝、胆囊疾患和十二指肠溃疡或食管溃疡。上述两种三联征的因果关系尚不明了,在鉴别诊断时应予以考虑。
疾病治疗
无症状或症状很轻的食管裂孔疝,通常不需要治疗。由于食管裂孔疝的症状主要是因胃酸反流刺激食管所引起,因此内科治疗基本上与反流性食管炎相似。内科治疗原则主要是消除疝形成的因素,控制胃食管反流促进食管排空以及缓和或减少胃酸的分泌。
大部分患者内科保守治疗即可并不需要手术治疗,当内科治疗无效时,可以考虑手术治疗。外科治疗主要的目的是修复扩大的食管裂孔,另外还要加上抗反流手术。手术治疗可选择开胸手术、开腹手术或腹腔镜微创手术。
先天性膈疝(congenital diaphragmatic hernia, CDH)是指因一侧或两侧膈肌发育缺陷, 腹部脏器进入胸腔, 从而导致一系列症状的小儿外科危重病症之一。
疾病分型
先天性膈疝可分3 种类型:
第1 型为后外侧疝, 亦称胸腹裂孔疝;
第2 型为胸骨旁疝;
第3 型为食管裂孔疝。
流行病学
每年在10000例出生婴儿中(包括活产和死产)中约有2.5~3.8例患有该疾病。尽管现代科学技术的进步使CDH 诊治水平已取得很大进展, 包括应用不同的辅助通气法、吸入一氧化氮疗法、使用外源性肺泡表面活性物质等药物、体外膜肺式氧合器(ECOM) 、外科技术的改进( 腹腔镜的使用) 等, 但目前CDH 患儿的死亡率仍为30% ~ 60% 。其病死率高的主要原因在于患儿常合并不同程度肺发育不良 。
临床表现
膈疝症状轻重不一,其临床表现与其类型、移位腹腔脏器性质、数量和速度、空腔内脏是否并发扭曲或狭窄以及肺发育不良的严重程度有关。临床上主要表现为两类症状和体征:
①由于腹内脏器脱出引起的腹内脏器的机能障碍所致;消化道的急慢性梗阻可表现为腹痛、呕吐、腹胀、停止排气排便等, 因脱出的被嵌顿的胃、肠粘连发生腐蚀性溃疡而有不同程度呕血、便血或因返流引起的胸骨后烧灼样疼痛;查体时患侧肺呼吸音减弱或消失, 叩诊呈鼓音或浊音, 胸部可闻及肠鸣音, 当有梗阻时可闻及气过水声, 而腹部则较平坦;当疝入的内容物发生嵌顿、绞窄时, 病人可出现发热、脉快、血压下降等中毒或循环衰竭的表现。
②胸腔脏器受压引起的改变, 如脱出胸内脏器较少, 可不引起严重的压迫症状, 当大量腹内脏器进入胸腔, 可出现呼吸困难、紫绀和循环障碍, 体检时可有心界变化及纵膈移位, 气管移位。严重者甚至出现休克。
诊断鉴别
先天性膈疝的临床表现缺乏构成膈疝的特殊性表现, 易与支气管肺炎、哮喘、液气胸及发绀型心脏病、肺囊肿混淆。下列几方面可有助于本病的早期诊断: ①对小儿突发性胸闷、气促, 而同时或相继伴消化道表现者应考虑膈疝可能; ②以肠梗阻为主要表现而腹部体征不明显, 尤以舟状腹时, 应考虑本病存在; ③重视对本病临床特征认识, 膈疝致呼吸困难常为发作性, 且随进食加重, 常伴呕吐等消化道症状;④胸腹部平片对本病早期诊断有重要价值, 表现为胸腔内呈充气的肠管及液平影, 腹部充气肠管缺乏或减少。经胃管注入钡剂, 动态观察胸腔, 若胸腔内可见钡剂胃肠影即可确诊。
CDH 患儿的产前诊断。目前为止, 产前诊断主要依靠超声诊断。如能证实腹腔脏器位于胸腔内则可确定诊断。产前超声检查时如发现羊水过多、纵膈偏移、腹腔内缺少胃泡等征象应予进一步详细检查是否有腹腔脏器疝入胸腔。
鉴别诊断
其鉴别诊断包括先天性腺瘤性囊肿畸形、肺叶膈离征、气管或支气管闭塞等。目前, 产前超声检查可在25 孕周时即对CDH 进行确诊, 如果能在产前做出诊断, 则可考虑是否中止产程或行外科手术的时机, 提高治疗效果。
疾病治疗
一、治疗原则
1.手术时机
在手术时机的选择上,上个世纪末起,已有研究认为延迟手术可以改善CDH患儿的预后,同时有证据显示非适时的手术修补对预后存在负面影响,而目前主张膈肌修补术在肺高压和持续的胎儿循环消退后进行,有条件者可以考虑使用体外膜氧合器(ECMO)或胎儿外科手术。
目前国内有学者将手术时机的选择可分为3类:
(1)延期手术:高危膈疝病儿多伴有较严重的肺发育不良及持续性肺动脉高压,紧急手术不能改善病儿的心肺功能,反而导致病情恶化,术前采取改善病儿通气、纠正酸中毒、心功能支持、降低肺动脉压力等措施,待基本情况有所好转,肺功能已获得最大限度改善时手术,可提高生存率;
(2)初步治疗后尽早手术:出生6小时后发病者,出现危重症状多有诱因,如肺炎、腹腔压力骤然增高(剧烈咳嗽、呕吐等)使病内容物突然增加而致心肺受压加重等。压迫不解除,病情往往难以很快控制,因此经初步治疗后尽早手术解除压迫可收到较好的效果;
(3)紧急手术:病内容物嵌顿绞窄的患儿因哭吵、呕吐等因素使腹压增高,突然出现症状,紧急手术。这类患儿疝环均较小,病形成后极易造成嵌顿纹窄,应尽早手术,以防绞窄肠管坏死。
2.手术方法
单纯膈疝可经腹或经胸还纳痴内容物于腹腔,恢复胃和食管正常解剖位置;合并食管狭窄时,采用狭窄部位纵切横缝方法,切口长约3cm,单针间断全层缝合,以减少术后瘫痕狭窄的可能。在20%的病例中,存在胸膜壁层和腹膜形成的病囊,予切除以减少复发的机会。
在关闭膈肌时使用假体材料已经得到广泛的认同,它可以完成无张力的膈肌修补,减少关闭腹壁时腹腔内压力的程度,它的主要缺点是感染的风险、假体材料的移动及膈疝复发的风险。不建议在CDH手术一侧的胸腔留置引流管。已有研究报道,当肺发育不全进行机械通气时,留置胸腔引流管甚至低负压吸引,都有可能增加气压性创伤和肺高压。此外,胸腔引流管的留置还增加了胸腔感染的风险。
随着儿童外科领域微创技术的普及和技术的更新,已有多个中心的报道了使在腹腔镜下成功修补膈疝。虽然早期的结果显示这样的技术是可行的,但还需要与传统手术相比远期的预后上的优势来肯定这项手术路径。
腹腔镜手术治疗先天性膈疝的优势
①气腹下疝囊充气膨胀, 易将疝入胸腔的脏器还纳腹腔。
②传统开胸和开腹膈疝修补术, 因病变部位深, 显露困难, 不仅对呼吸的干扰大, 而且
不能探查和处理腹腔内脏器的合并畸形; 腹腔镜术野暴露清楚, 术中同时探查, 多病联合治疗。
③传统开胸或开腹膈疝修补术切口大, 体壁神经和肌肉切断, 疼痛较重; 腹腔镜手术不损伤神经肌肉, 疼痛减轻, 脏器粘连显著减少, 术后并发症少, 对儿童生理发育影响小。
创伤性膈疝是由于外伤致膈疝破裂,腹腔脏器病入胸腔所致,是胸外科急重症,常合并胸腹腔脏器损伤或严重的呼吸循环障碍。创伤性膈疝的发病率占胸外伤的0.8%一2.5%,占胸腹联合伤的4.5%;据文献报道统计500例胸腹伤为主的多发伤中,术中发现膈肌破裂合并膈疝60例(0.12%),主要见于交通事故中挤压伤、工程施工坠落伤及刀刺伤引起的膈肌破裂,随着近来来工业、交通的飞速发展,创伤性膈疝的发病率有升高的趋势。
临床表现
创伤性膈疝是一种易被延误诊断的疾病,其延误诊断率较高,主要是由于此病缺乏特异的临床表现,而且临床医师对此病的认识及警惕性不够。临床诊治不及时或处理不当,常可导致严重后果。
急性膈肌破裂造成腹腔脏器病入胸腔会引起心、肺功能明显减退。因为病入胸腔内的腹腔脏器不仅会压迫患侧肺脏,影响膈肌运动,而且可以引起纵膈移位,压迫健侧肺脏,并使回心血量减少,心输出量降低,导致休克及气体交换功能下降。如果病入的脏器出现梗阻、狭窄甚至坏死、穿孔等症状,会使病情进一步复杂、恶化。临床上应将损伤部位、体征结合起来分析,同时出现呼吸和消化系统症状是创伤性膈疝的重要指征。典型体征为患侧呼吸音减弱或消失,叩诊呈鼓音或浊音并且合并恶心、呕吐、腹痛等消化系统症状,患侧胸部闻及肠鸣音是膈疝的特有体征。
疾病诊断
一、疾病症状
下胸部及上腹腔部尤其季肋部的开放性外伤或严重钝伤,出现以下情况应考虑膈肌损伤及膈疝形成:
1.出现胸闷、气促合并恶心、呕吐等消化道症状;
2.胸外伤后出现明显腹膜刺激征,腹穿抽出不凝血;对有胸部外伤史而出现机械性的肠梗阻,要想到有创伤性膈疝的可能;
3.腹部外伤后出现呼吸困难,纵膈移位,呼吸音低或消失,而无明显的肺损伤;
4.急性钝性胸腹部闭合性损伤后出现舟状腹;
5.胸部或上腹部闭合性损伤后,一侧胸痛并向同侧肩部放射是膈肌损伤的典型症状;
6.胸腔闻及肠鸣音;
7.胸腔闭式引流或胸穿抽得消化道物如胃肠液、食物残渣等,并闻到臭味者。
二、辅助检查
1.床旁B超:急诊床旁B超因为简便易行、无创,可首先进行。
2.胸部X线及CT检查:最重要的检查手段。
3.螺旋cT:对膈肌损伤诊断的价值最高,敏感性达71%,特异性100%。
4.胸腹部CT检查:应一次连续扫查,这样不但可以显膈肌裂伤,而且可以判断胸腹腔脏器有无移位,以明确诊断。
5.手术探查:对于通过辅助检查不能确诊而又高度怀疑本病者,应尽早手术探查。胸腹伤需开胸或剖腹时,应常规检查膈肌,以免漏诊。如条件允许,采用胸腔镜或腹腔镜检查确诊率可达100%。
疾病治疗
膈肌损伤无论大小均不能自愈,所以膈肌破裂一旦诊断明确,在治疗危及生命的创伤及休克的前提下,只要能耐受手术均应及时手术治疗。手术路径视患者胸腹部伤情而定,按照先重后轻的原则,首先处理致命伤,术式要简单有效。
1.手术路径
一般的选择原则为:①腹部外伤所致急性膈疝,考虑合并腹部脏器损伤为主,宜选腹部切口。②胸部外伤所致膈疝,疑有血管、肺、气管、食管损伤或心包填塞者,宜经胸手术。此时也可同期处理腹部脏器的损伤。③右侧膈疝多经胸手术。④对于病程长,体内粘连较严重的陈旧性膈疝应经胸入路。⑤胸腹腔合并多发伤宜分别切口,应该尽量避免胸腹联合切口,从而减少膈肌神经分支和滋养血管的损伤几率,利于膈肌修补后正常生理功能的恢复。
2.手术方法
手术探查时应轻柔缓慢,按顺序将庙入胸腔的脏器还纳入腹腔,切忌粗暴拉扯造成腹腔脏器破裂出血,同时修补或切除受损的胸腹腔脏器。修补破裂的膈肌边缘,在无张力的情况下,用粗丝线间断全层缝合,缝合距裂口边缘1cm,如果膈肌缺损过大则可采用自体游离植片或人造材料修补。对于肋角附着处撕脱者,可直接将膈肌缝合后固定在肋骨上。无论何种手术路径,均应行胸腔闭式引流,以防胸腔积液及感染,亦利于肺复张,经腹手术亦常规放置腹腔引流。术前如病情允许,应置胃管排气减压,防止术中大量气体进入胃肠道,加重呼吸、循环功能障碍,亦利于术后胃肠减压。本病预后不仅与膈肌损伤程度有关,而且与患者年龄、并发损伤、术后合并症及肺功能密切相关。
1、本站所有文本、信息、视频文件等,仅代表本站观点或作者本人观点,请网友谨慎参考使用。
2、本站信息均为作者提供和网友推荐收集整理而来,仅供学习和研究使用。
3、对任何由于使用本站内容而引起的诉讼、纠纷,本站不承担任何责任。
4、如有侵犯你版权的,请来信(邮箱:baike52199@gmail.com)指出,核实后,本站将立即删除。

















