-
肺梗塞 编辑
肺栓塞系常见病,肺栓塞是肺动脉分支被栓子堵塞后发生的肺循环障碍疾病。肺梗塞是肺栓塞后因血流阻断而发生的肺组织坏死。
肺梗塞并不少见,约10-15%的肺栓塞发生肺梗塞,它发病突然,来势凶猛,病情危重,死亡率高,但多因继发于其它疾病故临床表现复杂,对其影像学表现又认识不足,故极易造成临床漏诊或影像学方面的误诊,错误的诊断直接影响患者,并增加患者的经济负担,及时准确的诊断是治疗的关键。
肺梗塞
血栓的来源主要是下肢深静脉,占80 %~90 %,其次是盆腔、前列腺静脉及心脏疾患 。久病卧床、妊娠、大手术后和心功能不全可发生深静脉血栓,是发生肺栓塞的病因。
风心病发生的血栓及原发于肺动脉的血栓也是本病的原因。进入肺循环的栓子还可有脂肪、肿瘤栓子和气体等。
肺栓塞的病理改变取决于栓子的大小及肺血液循环的状态。
栓子大小为由微血管内的小栓子至大动脉的骑跨性血栓不等。较小的栓子未能完全堵塞血管时不易引起血循环障碍。多发小栓子能引起多发性小动脉分支栓塞,肺动脉主干或大分支被大的栓子堵塞可引起急性右心衰竭以致死亡。严重肺淤血患者的肺栓塞可导致肺梗塞。
肺梗塞以下叶多见,外形呈锥形,尖端指向肺门。病灶中心为坏死区,周围有水肿和出血。水肿和出血可吸收,坏死区愈合后发生纤维化。
患者起病急,有呼吸困难,胸痛和咳血。咯血表明有肺梗塞发生。单发的小分支栓塞症状轻微或无明显不适,大分支或肺动脉主干栓塞,或小分支广泛的栓塞有严重的呼吸困难、紫绀。听诊肺部可闻及干性或湿性罗音。心前区可听到杂音及心率异常。急性肺栓塞约10%的病人于发病1小时内死亡。若未及时诊断及治疗,大约有30%的病人因肺栓塞复发而死亡。患者常有慢性心脏病、近期手术、创伤史、血栓闭塞性静脉炎、妊娠、长期卧床、高粘血症等诱因。
突发胸闷、气短、呼吸困难
患者自发病起常不能平卧,端坐呼吸,难以入睡。这是部分肺组织梗塞后,肺换气不足,低氧血症及胸痛不能深呼吸等因素所致。
胸痛
胸痛是又一突出的临床特征。突发胸部剧痛,为胸膜性疼痛,患者常不敢深呼吸,不能向患侧卧,甚者难以入睡。这是由于脏层胸膜由肺内供血,梗塞后脏层胸膜水肿坏死所致。
低热
起病时体温正常,后逐渐升高,多在38 ℃~38. 5℃之间,约1周左右下降至正常,为肺组织缺血坏死所致。突出的临床症状、增速的呼吸脉搏与低热呈明显的矛盾现象这是本病的又一临床特征,有别于一般感染性疾病。
咳血
患者多于发病后第2~3d开始咳血,从痰中带血丝到咳紫黑色血块,持续约3~33 d,以10~15 d多见。咳血持续时间长是本病的又一特征。
肺栓塞可由普通X线平片、血管造影、CT和MR以及核素扫描等方法检查。
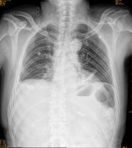
肺动脉小分支的单发肺栓塞X线可无异常表现,大分支及多发性小分支栓塞X线可见X线异常表现。
(1)肺缺血:当肺叶或肺段动脉栓塞时,相应范围的肺纹理减少或消失,透亮度增加,称为韦斯特马克(westmark)征。多发性小动脉栓塞引起广泛性肺缺血。
(2)肺动脉异常:病变的肺动脉因血栓嵌塞而增粗,其远端因血流减少而变细。SCT显示明确.
(3)肺体积减小:下叶肺栓塞多见,故肺体积缩小也于下叶常见,引起膈升高,肺门及叶间裂下移。并可合并盘状肺不张。
(4)心影增大:心影增大由右室增大所致,见于较大肺动脉的栓塞或多发肺栓塞.
X线,SCT和MRI可以得以明确.
血管造影、核素扫描等也可以帮助诊断.
D-二聚体阴性可以排除急性PTE,阳性并非PTE的特异检查
本病常易误诊为肺炎、胸膜炎、肺水肿、肺不张等,应与之鉴别。
肺炎患者先发烧,全身中毒症状明显,体温、脉搏、呼吸同步上升,胸痛轻,铁锈色痰持续时间短,治疗后吸收快,无急性肺心病,无肺门截断征,与肺梗塞不同。胸膜炎肺内无锥形实变、无咳血症状。肺水肿多为双侧,无剧烈胸痛,无肺门截断及锥形实变,治疗后吸收快, 与肺梗塞不同。
由于肺梗塞大都发生在患有心肺疾患的病人中,所以如在胸片上同时见有肺心病、肺淤血以及肺水肿等征象时,则应考虑肺部实变为肺梗塞的可能。在无心肺疾病的病人中,肺梗塞可引起肺出血而不产生肺梗塞,此时肺出血的X线表现不易与肺梗塞区别。当心肺无其他明显改变可提示肺出血可能性大。单纯肺出血可于7-10天或更短时间内完全消失,并无残留痕迹,肺梗塞的消退较为缓慢,平均需要20天左右,可长达5周,大多数病例可残留纤维瘢痕的索条状阴影。
肺梗塞
老年人的血黏度较高,血流缓慢,下肢外伤尤其骨折后,会致血管壁不光滑,若手术后长期卧床,就容易形成下肢或盆腔内血栓形成,栓子脱落就可能导致肺梗塞。因此,骨折病人,特别是下肢骨折后接受手术治疗的老年病人,应该在手术后早日起床活动。需长期卧床的病人,可以在床上经常做做深呼吸和活动下肢(或在家属的帮助下进行),以防止静脉栓塞形成。对已明确诊断患有下肢静脉栓塞的病人来说,体内的栓子就像定时炸弹一样,随时有脱落并引起肺梗塞的可能。所以,病人除了积极进行治疗外,平时应该经常变换体位,不要长时间静坐不动,以免发生肺梗塞。
1、有一位73岁的王老伯,盘腿而坐打了整整一个下午的麻将。当他站起来时,突感左胸剧痛,收气时尤甚,不敢喘气。王老伯没有在意,直到两天后又吐了数口鲜血,方去医院求治。经过肺CT、肺动脉造影等检查,医生确诊为肺血栓栓塞症。王老伯住院三天后出现小腿肿胀,经多普勒超声波检查,发现左下肢深部静脉存在栓塞。原来,三天前检查到的肺梗塞,就是下肢静脉血栓脱落所致。
2、77岁的张教授走路时不慎跌倒,造成左下肢股骨颈骨折,卧床休息了数月。 一天,一位护士边与张教授谈话边进行下肢按摩,教授突然出现胸闷、气急,经抢救无效死亡。起先医生以为张教授是死于心肌梗塞,后经尸体解剖后才发现,老教授是因肺梗塞而去世的,而贻害肺的那些栓子,是由于下肢骨折后长时间缺乏运动而形成的。
3、八一女篮队员王凡在2010年2月15日这一天因肺梗塞离开人世,终年26岁。王凡在1月24日八一女篮对阵北京女篮之前的训练中突然晕倒的。据队友叙述,“当时球队刚开始热身,并没有太大的运动量,王凡就突然晕倒了。”经过紧急救护,王凡醒过来了。但进了医院,王凡只是去了一次卫生间,就陷入昏迷。一直到2月15日,王凡离开了人间。王凡同志逝世后,鉴于她在WCBA比赛中牺牲的实际情况和平时表现,解放军总政治部批准王凡为“革命烈士”。
1、本站所有文本、信息、视频文件等,仅代表本站观点或作者本人观点,请网友谨慎参考使用。
2、本站信息均为作者提供和网友推荐收集整理而来,仅供学习和研究使用。
3、对任何由于使用本站内容而引起的诉讼、纠纷,本站不承担任何责任。
4、如有侵犯你版权的,请来信(邮箱:baike52199@gmail.com)指出,核实后,本站将立即删除。
















